В Жамбылском областном многопрофильном центре онкологии и хирургии провели уникальную операцию по удалению гигантской злокачественной опухоли, передает Astana TV c ссылкой на Минздрав.
62-летняя жительница Меркенского района случайно обнаружила свою опухоль, когда врач поликлиники в прививичном кабинете увидела аномально большой живот и буквально уговорила пациентку пройти обследование.
По словам лечащего врача Ерасыла Арапова, заведующего отделением торакоабдоминальной хирургии Жамбылского многопрофильного центра онкологии и хирургии, женщина поступила в стационар уже на грани начала необратимого процесса.
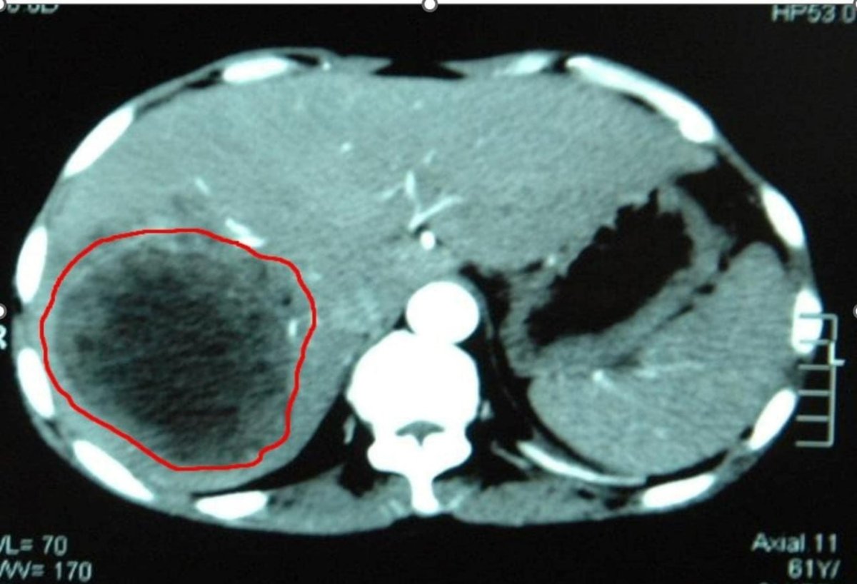
Новообразование занимало 70% всей печени, тесно связываясь с желчным пузырем и общей печеночной артерией, а вес гигантской опухоли составлял 6 кг. Она сдавила полую вену, желчный пузырь с протоками и крупные сосуды печени, полностью поглотив ее правую долю.

Как отмечает специалист, удалять такую гигантскую опухоль нужно полностью, постаравшись не нарушить ее целостность, в противном случае риск рецидива крайне высок. Сделать это непросто именно из-за больших размеров образования, отсутствия рабочего пространства в брюшной полости, тесного прилегания к крупным сосудам и значительно нарушенной анатомии. Любое неосторожное движение может привести к массивному кровотечению и нештатной ситуации.
Хирурги удалили у Г. практически всю правую долю печени, желчный пузырь, провели резекцию лимфоузлов воротной вены и общей печеной артерии. Дополнительная сложность заключалась в необходимости выделения почти вслепую нижней полой вены и общего желчного протока.
Высококлассная и слаженная работа бригады анестезиологов помогла избежать проблем с кровообращением у нашей пациентки. Только внимание к любым изменениям в организме, своевременное обращение к онкологу и правильно спланированное лечение может спасти пациента и снижает риск операции в разы, - резюмирует Ерасыл Арапов.