$541.34 €640.73 ₽6.53
×

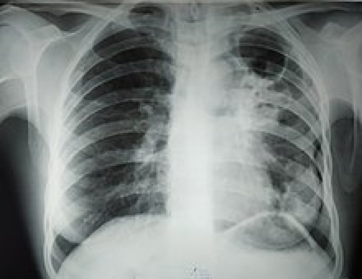
Заболеваемость туберкулёзом увеличилась в СКО

AstanaTV
07.02.2023г. в 18:45
Заболеваемость туберкулёзом увеличилась в СКО

210 случаев туберкулёза зарегистрировано в Северо-Казахстанской области в 2022 году. Рост заболеваемости на 23% зафиксирован в Петропавловске, передает Astana TV

В 2 раза чаще стали болеть подростки 15-17 лет, сообщили в Комитете санитарно-эпидемиологического контроля. "Рост заболеваемости туберкулезом наблюдается в г. Петропавловске на 22,25%, на 10 случаев в Кызылжарском районе, на 7 случаев в Айыртауском районе, на 4 случая в Есильском районе и Уалихановском районе", - отметили в ведомстве. Также там назвали основные признаки заболевания. Это - кашель более 2 недель, боли в грудной клетке, ночная потливость, снижение массы тела, длительное повышение температуры до 37-37,5 градусов, общая утомляемость.

Напомним, туберкулезом стали чаще заражаться и шымкентские школьники.

Я. Гладкова